Este foro sólo es para los Teamers y Teaming Managers del Grupo.

Para poder comentar:

Actualización de cómo va la causa

Victoria Riera Serra
Victoria Riera Serra

Teaming Manager

el 18/07/2017 a las 11:46h

Balance a 18 de Julio de 2018

Teaming: 50,- €
Donaciones: 100,-€
Veterinario: -30,-€
Saldo: 120,-€


Comparte

Este foro sólo es para los Teamers y Teaming Managers del Grupo.

Para poder comentar:

Comentario

Victoria Riera Serra
Victoria Riera Serra

Teaming Manager

el 18/07/2017 a las 11:30h

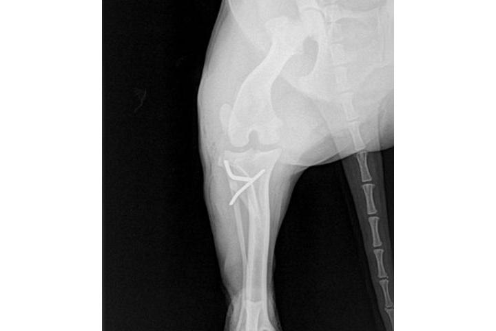
Rx control


Comparte

Este foro sólo es para los Teamers y Teaming Managers del Grupo.

Para poder comentar:

Comentario

1 comentario

Victoria Riera Serra
Victoria Riera Serra

Teaming Manager

el 18/07/2017 a las 11:14h

por En la radiografía que acabo de publicar, que le hicieron a Snoopy ayer por la tarde, se aprecia perfectamente la diferencia posicional de las dos patitas. Nuestra Snoopy se está recuperando muy bien y mucho mas deprisa de lo que esperábamos. La rx se la hicieron en su veterinario de Reus y ahora esperamos la valoración del cirujano de Cambrils que la operó que la tiene en su poder las placas y el informe valorativo de los vetes de aquí. El decidirá si ya está preparada para la siguiente intervención o si por el contrario debemos darle un poco mas de tiempo. No debemos olvidar que aun no hace un mes que la operó y tenemos que ser cautos y asegurarnos de que su musculatura esté fuerte. Por otro lado, deciros que el coste de este control ha sido menor de lo que esperábamos, tan solo 30,-€ por la rx por lo que la hucha de Snoopy no se ha visto demasiado perjudicada. en un rato os pasaré la factura de ayer y el balance del mes en curso. un gran abrazo a tod@s.


Comparte

Pilar Martín Martín

Teamer

el 18/07/2017 a las 13:24h

Gracias Victoria por informarnos de los progresos de Snoopy! Me alegro logró mucho de la evolución! Un abrazo!

Este foro sólo es para los Teamers y Teaming Managers del Grupo.

Para poder comentar:

Actualización de cómo va la causa

Victoria Riera Serra
Victoria Riera Serra

Teaming Manager

el 18/07/2017 a las 10:55h

rx de control


Comparte

Este foro sólo es para los Teamers y Teaming Managers del Grupo.

Para poder comentar:

Comentario

1 comentario

Juan Portal
Juan Portal

Teamer

el 12/07/2017 a las 15:30h

Hola victoria te acabo de mandar una pequeña ayuda también. Mucho ánimo y un abrazo!


Comparte

Victoria Riera Serra

Teaming Manager

el 12/07/2017 a las 15:47h

Juan, gracias gracias Gracias!! !!!!!!!!

Este foro sólo es para los Teamers y Teaming Managers del Grupo.

Para poder comentar:

Actualización de cómo va la causa

10 comentarios

Victoria Riera Serra
Victoria Riera Serra

Teaming Manager

el 11/07/2017 a las 18:15h

Estimados amigos teamers, quiero hacer un llamamiento y de paso explicaros como funciona la recaudación de las aportaciones mensuales de 1 € con las que todos colaboramos mes a mes. A día de hoy hemos recaudado más de 700 € sólo con las generosas donaciones puntuales de muchos de nuestros compañeros, eso nos a permitido cubrir todos los gastos de la primera intervención de Snoopy, incluyendo diagnósticos, radiografías, valoraciones, preoperatorio, cirugía, y control postoperatorio. Afortunadamente la rehabilitación de Snoopy está siendo genialmente sencilla, es una perrita joven y fuerte y además es una perra FELIZ lo que hace que se recupere aun mas rápido de lo que todos esperábamos....pero está rapidez en su recuperación, aunque esté feo decirlo, supone un problema para nuestros bolsillos.Si bien en teoría ha suficiente dinero entre el teaming (23+28) y las últimas donaciones (10+15) resulta que (los mánager teaming lo saben bien) la última recaudación del teaming no se puede transferir a la cuenta hasta el día 25 del mes en curso...por lo cual hasta el 25 no podremos disponer del dinero...para más ende el 25ves el día que John y yo cobramos la pensión por lo que no tan solo hay que tocar los fondos del teaming, que pretendemos guardar para la siguiente operación. El caso es que el día 17 ha que pagar 70 € para la radiografía de control de patita ya operada y sólo disponemos de 48€....cualquier ayuda será de agradecer...y disculparme por tanto rollo pero es que lo mío no es pedir dinero y más cuando ya me habéis ayudado tanto....en fin no pienso releer lo escrito porque seguro que lo borrarla todo...gracias de antemano


Comparte

Victoria Riera Serra

Teaming Manager

el 12/07/2017 a las 14:32h

Hola Rafa, han llegado dos ingresos de 20€ cada uno...supongo que uno de ellos es el tuyo...muchisimas gracias....no lo había publicado aún porqué estoy pendiente de otra aportación que seguramente llegará después de las 15 h...este banco mio funciona a la catalana jajaja...

Rafael Monroy González

Teamer

el 12/07/2017 a las 14:46h

Ok, sólo para saber que no hubiese habido ningún problema. Sí, uno de los de 20€ debe ser el mío. Saludos

Este foro sólo es para los Teamers y Teaming Managers del Grupo.

Para poder comentar:

Comentario

9 comentarios

Victoria Riera Serra
Victoria Riera Serra

Teaming Manager

el 09/07/2017 a las 16:40h

Os adjunto el informe de la operación de Snoopy finalmente corregido.


Comparte

Pilar Martín Martín

Teamer

el 12/07/2017 a las 17:42h

Victoria mi ayuda es de 20 euros! Ya verás como mejora tu gata! Se les quiere tanto!!!un abrazo muy fuerte y Snoopy se va a curar totalmente!!

Pilar Martín Martín

Teamer

el 12/07/2017 a las 17:46h

John y tu sois estupendos! os merecéis ser felices con vuestros animalitos!!!un abrazote!

Este foro sólo es para los Teamers y Teaming Managers del Grupo.

Para poder comentar:

Comentario

Victoria Riera Serra
Victoria Riera Serra

Teaming Manager

el 06/07/2017 a las 18:53h

Visit a de revision tras LA cirugia


Comparte

Este foro sólo es para los Teamers y Teaming Managers del Grupo.

Para poder comentar:

Actualización de cómo va la causa

Victoria Riera Serra
Victoria Riera Serra

Teaming Manager

el 05/07/2017 a las 14:19h

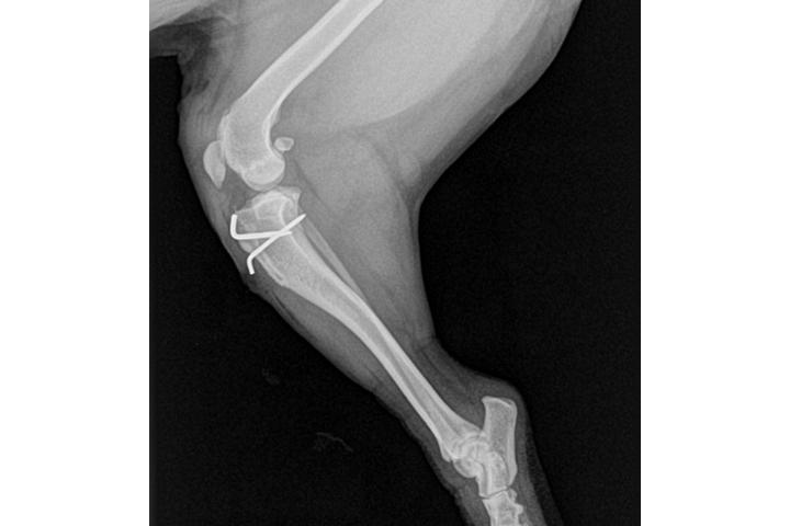
Rx de la rodilla de Snoopy tras la cirugía


Comparte

Este foro sólo es para los Teamers y Teaming Managers del Grupo.

Para poder comentar:

Actualización de cómo va la causa

Victoria Riera Serra
Victoria Riera Serra

Teaming Manager

el 05/07/2017 a las 14:18h

Rx de la rodilla de Snoopy tras la cirugía


Comparte

Este foro sólo es para los Teamers y Teaming Managers del Grupo.

Para poder comentar:

Actualización de cómo va la causa

1 comentario

Victoria Riera Serra
Victoria Riera Serra

Teaming Manager

el 05/07/2017 a las 13:53h

Finalmente ya tengo en mi poder el informe quirúrgico y las radiografías del postoperatorio de Snoopy...las voy a publicar enseguida para que veáis la complejidad de la intervención y la sorprendente recuperación de esta maravillosa perrita....el jueves la llevamos a su primera revisión pero os aseguro que es increíble verla saltar y correr con su pAtita nueva....la otra pata ahora se la ve peor y es normal porque se le nota más la curvatura anormal de la luxación....calculamos que a este ritmo de la podrá operar de nuevo antes de lo que pensábamos. Ahora publicaré las radiografías y para el informe necesitaré ayuda porque está en mi mail en un formato raro y necesito a mi hermana y su ordenador....


Comparte

Pilar Martín Martín

Teamer

el 05/07/2017 a las 16:04h

Ya verás que va a quedar genial !!Un abrazo!!

Este foro sólo es para los Teamers y Teaming Managers del Grupo.

Para poder comentar:

Comentario

Victoria Riera Serra
Victoria Riera Serra

Teaming Manager

el 29/06/2017 a las 13:57h

GRACIAS María Sahagún Iriarte por tu nueva aportación...va directa a la hucha de Snoopy., ella y nosotros te lo agradecemos mucho...un abrazo grandote!!!!


Comparte

Este foro sólo es para los Teamers y Teaming Managers del Grupo.

Para poder comentar:

Actualización de cómo va la causa

2 comentarios

Victoria Riera Serra
Victoria Riera Serra

Teaming Manager

el 28/06/2017 a las 18:10h

Es impresionante a que ritmo se está recuperando Snoopy...a penas han pasado 48 horas y ya corre apoyando su nueva y reconstruida patita...cojea, eso está claro, pero verla con tanta vitalidad es una gozada....tenemos que frenar la porque si por ella fuera se iría a trotar por la finca como si tal cosa...es increíble...es una campeona.


Comparte

Antoni Liebana Pera

Teamer

el 28/06/2017 a las 18:16h

En su camita nueva !! Nos alegramos mucho por todo, al ser muy joven lo aguantara bien y sin lugar a dudas tendrá una vida plena, se la ve llenita de felicidad

Victoria Riera Serra

Teaming Manager

el 12/07/2017 a las 18:19h

Antoni Liébana ya ha llegado lo tuyo...los decimales me han descolocado y no sabía de quien venía el ingreso...muchísimas gracias....abrazote nuestro y ladrones de Snoopy...

Este foro sólo es para los Teamers y Teaming Managers del Grupo.

Para poder comentar:

Actualización de cómo va la causa

11 comentarios

Victoria Riera Serra
Victoria Riera Serra

Teaming Manager

el 28/06/2017 a las 18:09h

Es impresionante a que ritmo se está recuperando Snoopy...a penas han pasado 48 horas y ya corre apoyando su nueva y reconstruida patita...cojea, eso está claro, pero verla con tanta vitalidad es una gozada....tenemos que frenar la porque si por ella fuera se iría a trotar por la finca como si tal cosa...es increíble...es una campeona.


Comparte

Pilar Martín Martín

Teamer

el 28/06/2017 a las 20:00h

Os merecéis todo!!!

Rafael Monroy González

Teamer

el 29/06/2017 a las 08:25h

¡Qué alegría! Se la ve como si nada. Es increíble. Contad con mi apoyo también hasta que esté en perfectas condiciones. Un abrazo

Este foro sólo es para los Teamers y Teaming Managers del Grupo.

Para poder comentar:

Comentario

3 comentarios

Victoria Riera Serra
Victoria Riera Serra

Teaming Manager

el 27/06/2017 a las 19:18h

Buddy


Comparte

Victoria Riera Serra

Teaming Manager

el 27/06/2017 a las 19:23h

Buddy es nuestro querido mastín que desapareció el 27 de abril....ayer me llamaron por telf desde Vilaseca diciéndome que habían visto un perro parecido por una zona cercana a un polígono industrial....hoy mi cuñado me acompañará a hacer una batida por la zona ( yo no tengo coche..dita sea-).... a ver si hay suerte....

María Sahagún Ituarte

Teamer

el 27/06/2017 a las 19:27h

Qué guapo. Espero que haya un reencuentro feliz. Ya nos contarás.

Pilar Martín Martín

Teamer

el 27/06/2017 a las 19:34h

Muy guapo! SUERTE!No hay que rendirse!!Es paramos noticias buenas!!!!

Este foro sólo es para los Teamers y Teaming Managers del Grupo.

Para poder comentar:

Actualización de cómo va la causa

10 comentarios

Victoria Riera Serra
Victoria Riera Serra

Teaming Manager

el 27/06/2017 a las 17:52h

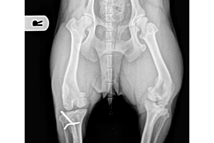
Comparativa de las patas de Snoopy.


Comparte

Pilar Martín Martín

Teamer

el 27/06/2017 a las 19:04h

Suerte en encontrar a Buddy!yo también cruzó los dedos!

Victoria Riera Serra

Teaming Manager

el 27/06/2017 a las 19:05h

Todo es posible..aunque no salgo esperando encontrarlo....pero de todos modos salgo....su no lo intento.seguro que no lo lo código.. ..quién sabe, tal vez rescate algún otra alma perdida...

Este foro sólo es para los Teamers y Teaming Managers del Grupo.

Para poder comentar:

Comentario

5 comentarios

Victoria Riera Serra
Victoria Riera Serra

Teaming Manager

el 27/06/2017 a las 14:55h

Snoopy descansando en su nueva camita...


Comparte

Victoria Riera Serra

Teaming Manager

el 27/06/2017 a las 15:46h

Que són huacas????

Victoria Riera Serra

Teaming Manager

el 27/06/2017 a las 15:47h

Ahhhh!!!!

Este foro sólo es para los Teamers y Teaming Managers del Grupo.

Para poder comentar:

Actualización de cómo va la causa

Victoria Riera Serra
Victoria Riera Serra

Teaming Manager

el 27/06/2017 a las 14:47h

Snoopy está en casa....


Comparte

Este foro sólo es para los Teamers y Teaming Managers del Grupo.

Para poder comentar:

Comentario

1 comentario

Victoria Riera Serra
Victoria Riera Serra

Teaming Manager

el 27/06/2017 a las 14:44h

La cirugía de Sólo ha sido algo más complicada de lo que esperábamos...al abrirla han descubierto que la base se su rótula era completamente plana por lo que han tenido que hacerle una reconstrucción completa de la rodilla...lo bueno es que no la han inmovilizado para que no pierda masa muscular...por otro lado nuestro trabajo con la rehabilitación va a ser crucial para que aprenda a caminar de nuevo...la lesión es de nacimiento por lo que ella nunca ha usado sus patas como es debido y ahora tendrá que empezar de cero...pero ese es un reto al que nos enfrentamos encantados....gracias a todo@s vosotr@s ha sido posible iniciar este proyecto....y se que junt@s llegaremos hasta el final....Gracias de CORAZÓN...


Comparte

Pilar Martín Martín

Teamer

el 27/06/2017 a las 15:05h

Gracias a vosotros por dar a Snnopy la oportunidad de poder caminar normal! Un abrazo

Este foro sólo es para los Teamers y Teaming Managers del Grupo.

Para poder comentar:

Actualización de cómo va la causa

Victoria Riera Serra
Victoria Riera Serra

Teaming Manager

el 27/06/2017 a las 14:34h

Snoopy ya está en casa...os muestro la factoría de la primera cirugía...


Comparte

Este foro sólo es para los Teamers y Teaming Managers del Grupo.

Para poder comentar: