Este foro sólo es para los Teamers y Teaming Managers del Grupo.

Para poder comentar:

Actualización de cómo va la causa

Asociación Diana Rescata
Asociación Diana Rescata

Teaming Manager

el 13/09/2025 a las 16:38h

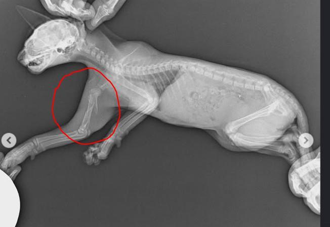
✨ Ayer Piri ha tenido su revisión veterinaria y está estupenda, el veterinario nos ha confirmado que todo va genial .
Mil gracias a Cristina Caudal Couto por llevarla al veterinario de Mascoteros y cuidarla con tanto cariño. ✨

& gracias a todos los que nos apoyan para que podamos seguir sacado a nuestros gatetes adelante ♥️

*¡Ayúdanos a seguir salvando más vidas!*
Con solo *1€ al mes*, puedes convertirte en socio y marcar una gran diferencia en la vida de muchos gatitos necesitados. Tu pequeño gesto les dará comida, atención y amor.
*Únete aquí:* https://www.teaming.net/michisdepelayos

BBVA ES72 0182 7421 54 0202676940
BIZUM 630894724
Tambien nos puedes ayudar con donativos de comida, arena etc.

*Un pequeño acto de amor puede cambiar muchas vidas. ¡Comparte y ayuda!*
*Síguenos en Instagram:* @asociacion_adr
Facebook Diana Vásquez
Tiktok @asociacion_adr


Comparte

Este foro sólo es para los Teamers y Teaming Managers del Grupo.

Para poder comentar:

Actualización de cómo va la causa

Asociación Diana Rescata
Asociación Diana Rescata

Teaming Manager

el 13/09/2025 a las 16:36h

Nuestra pequeñita ayer pasó por una operación de húmero. Ahora está adolorida, pero con muchísima fuerza y valentía ✨. Confiamos en que pronto se recupere y pueda comenzar una nueva vida, llena de amor y cariño en el calor de un hogar .
#apadrina #apadrinaungato #gatos
*¡Ayúdanos a seguir salvando más vidas!*
Con solo *1€ al mes*, puedes convertirte en socio y marcar una gran diferencia en la vida de muchos gatitos necesitados. Tu pequeño gesto les dará comida, atención y amor.
*Únete aquí:* https://www.teaming.net/michisdepelayos

BBVA ES72 0182 7421 54 0202676940
BIZUM 630894724
Tambien nos puedes ayudar con donativos de comida, arena etc.

*Un pequeño acto de amor puede cambiar muchas vidas. ¡Comparte y ayuda!*
*Síguenos en Instagram:* @asociacion_adr
Facebook Diana Vásquez
Tiktok @asociacion_adr


Comparte

Este foro sólo es para los Teamers y Teaming Managers del Grupo.

Para poder comentar:

Actualización de cómo va la causa

Asociación Diana Rescata
Asociación Diana Rescata

Teaming Manager

el 13/09/2025 a las 16:34h

Muchísimas gracias Beatriz por tus palabras y por ayudar a dar visibilidad . Este peque merece todas las oportunidades y sin gente como tú y todas esas personitas que nos apoyan esto no sería posible. Ojalá más personas se animen a seguir, apoyar y ayudar a las protectoras todo fuera un poquito mejor ♥️✨


Comparte

Este foro sólo es para los Teamers y Teaming Managers del Grupo.

Para poder comentar:

Actualización de cómo va la causa

Asociación Diana Rescata
Asociación Diana Rescata

Teaming Manager

el 13/09/2025 a las 16:32h

✨ Os presentamos a Bola ✨
Este pequeñín apareció el día 17 en el parque de la Bola, en San Martín de Valdeiglesias (de ahí su nombre ).

Nos contaron que un hombre intentó cogerlo a mano, pero el gatito, asustado, se refugió en un coche. Al no poder atraparlo, pidió ayuda para poner una jaula, pero la persona no estaba en el pueblo. Finalmente, Bola salió del coche y empezó a subir por la calle del castillo… ¡y ahí fue cuando nos encontramos con él!

Tras una hora intentando que entrara en el transportín, vimos que no se atrevía. Así que usamos una jaula con mando a distancia (que permite estar más alejados para no asustarlo tanto) y así conseguimos rescatarlo.

Es un gatito muy bueno, solo estaba muerto de miedo y por eso no se dejaba coger. Ahora ya está a salvo y poco a poco descubriendo que las manos también dan caricias

#adopciónresponsable #gatitospequeños #gatos #adoptanocompres❤️ #adoptaysalvaunavida


Comparte

Este foro sólo es para los Teamers y Teaming Managers del Grupo.

Para poder comentar:

Actualización de cómo va la causa

Asociación Diana Rescata
Asociación Diana Rescata

Teaming Manager

el 13/09/2025 a las 16:29h

Esterilizar es un acto de amor y responsabilidad. Cada procedimiento significa menos animales en las calles y más oportunidades de vida digna para quienes ya existen.

*¡Ayúdanos a seguir salvando más vidas!*
Con solo *1€ al mes*, puedes convertirte en socio y marcar una gran diferencia en la vida de muchos gatitos necesitados. Tu pequeño gesto les dará comida, atención y amor.
*Únete aquí:* https://www.teaming.net/michisdepelayos

BBVA ES72 0182 7421 54 0202676940
BIZUM 630894724
Tambien nos puedes ayudar con donativos de comida, arena etc.

*Un pequeño acto de amor puede cambiar muchas vidas. ¡Comparte y ayuda!*
*Síguenos en Instagram:* @asociacion_adr
Facebook Diana Vásquez
Tiktok @asociacion_adr


Comparte

Este foro sólo es para los Teamers y Teaming Managers del Grupo.

Para poder comentar:

Actualización de cómo va la causa

Asociación Diana Rescata
Asociación Diana Rescata

Teaming Manager

el 13/09/2025 a las 16:27h

Urgente: Ayuda gatete atropellado

Ayer recibimos un aviso de un gatete que había sido atropellado en la calle Delicias (Madrid). Estaba solito, en medio de los coches… Lo rescatamos de inmediato y lo llevamos al veterinario de Mascoteros en Rivas Vaciamadrid, donde confirmaron que tiene roto el húmero.

Ahora se encuentra en nuestro refugio, tomando antiinflamatorios y con todos nuestros cuidados ❤️. Mañana volverá al veterinario para que el traumatólogo valore si puede ser operado.

Necesitamos de vuestra ayuda para que este pequeñín tenga la oportunidad de ser operado y disfrutar de un hogar feliz ✨.

Cómo ayudar:
BBVA: ES72 0182 7421 54 0202676940
Bizum: 630 894 724

Cada aportación, por pequeña que parezca, puede cambiarle la vida .
Ayúdanos compartiendo y difundiendo para que llegue a más corazones.


Comparte

Este foro sólo es para los Teamers y Teaming Managers del Grupo.

Para poder comentar:

Actualización de cómo va la causa

Asociación Diana Rescata
Asociación Diana Rescata

Teaming Manager

el 13/09/2025 a las 15:53h

Ayuda para este pequeño guerrero

Queremos contarles que ayer volvimos a llevar a este pequeño al tercer veterinario por el problema que tiene en el cuello. Llevamos meses haciéndole curaciones, dándole medicamentos y haciendo todo lo posible, pero no veíamos mejoría y estábamos ya en un punto muy desesperante.
En la clínica Mascoteros (Rivas Vaciamadrid) le hicieron una limpieza profunda y la mejor opción fue tomar tejido y tratar de cerrar la herida que tenía y poder sanar. Mañana tendrá revisión y os iremos contando su evolución.

Necesitamos vuestra ayuda para poder seguir adelante con su tratamiento. No tenemos recursos para cubrir las facturas, y el veterinario nos ha dado un presupuesto de 272,34 € por la intervención.
Por favor, si pueden colaborar, cualquier aportación será de gran ayuda para poder salvar a este pequeño.

✨ Cada granito de arena cuenta, juntos podemos darle la vida que merece ✨

Si quieres colaborar
BBVA ES72 0182 7421 54 0202676940
BIZUM 630894724
Comparte esta publicación para que llegue a más personas.

Gracias de corazón por estar ahí


Comparte

Este foro sólo es para los Teamers y Teaming Managers del Grupo.

Para poder comentar:

Actualización de cómo va la causa

Asociación Diana Rescata
Asociación Diana Rescata

Teaming Manager

el 13/09/2025 a las 15:48h

¿Te encantan los gatitos pero no puedes adoptar?

Puedes ayudarlos apadrinando.✨

Apadrinar es una forma preciosa de crear un vínculo con uno de nuestros pequeños mientras contribuyes a su bienestar♥️.

Tu ayuda puede ser con comida, arena o lo que esté a tu alcance.
Cada gesto, por pequeño que parezca, significa muchísimo para ellos… y para nosotros también.
✨ Juntos podemos seguir cuidándolos y dándoles el amor que merecen.‍⬛❤️‍


Comparte

Este foro sólo es para los Teamers y Teaming Managers del Grupo.

Para poder comentar:

Actualización de cómo va la causa

Asociación Diana Rescata
Asociación Diana Rescata

Teaming Manager

el 13/09/2025 a las 15:47h

Este valiente gatito lleva ya un buen tiempo con nosotros.
Recibimos un aviso sobre su estado, y cuando finalmente pudimos capturarlo, nos encontramos con una gran herida en su cuello que aún no ha logrado cerrar del todo.

Ya vamos por el tercer veterinario, pero no vamos a rendirnos. Con mucho amor, cuidados y atención, estamos haciendo todo lo posible para que este pequeño salga adelante.

✨ Necesitamos de tu ayuda para seguir cubriendo sus tratamientos, curaciones y todo lo que necesite para recuperarse por completo.

Cualquier aporte, por pequeño que sea, hace una gran diferencia.
Gracias por acompañarnos en esta lucha por su vida.✨

#AyudaAnimal #GatitoEnRecuperación #RescateAnimal #AdoptaNoCompres #amorporlosanimales


Comparte

Este foro sólo es para los Teamers y Teaming Managers del Grupo.

Para poder comentar:

Actualización de cómo va la causa

Asociación Diana Rescata
Asociación Diana Rescata

Teaming Manager

el 13/09/2025 a las 15:44h

‼️URGENTE ‼️
- Gatito fue rescatado en condiciones críticas
Recibido un aviso sobre un gatito que fue visto en la calle La Viña, en Pelayos de la Presa. El pequeño fue capturado y trasladado de inmediato al veterinario.

Lamentablemente, su estado era muy grave estaba severamente desnutrido y presenta una herida en la cara con signos de gangrena e infestación de gusanos.
A pesar de todo, hicimos todo lo posible para salvarle la vida y darle una oportunidad de recuperación ❤️‍ pero lamentablemente no sobrevivió .


Comparte

Este foro sólo es para los Teamers y Teaming Managers del Grupo.

Para poder comentar:

Actualización de cómo va la causa

Asociación Diana Rescata
Asociación Diana Rescata

Teaming Manager

el 13/09/2025 a las 15:40h

¿Os acordáis del gatito que nos dieron el aviso que estaba con una herida en la cabeza ?

Aprovechamos para castrarlo y realizarle las curaciones de la cabeza y ya está en libertad

*¡Ayúdanos a seguir salvando más vidas!*
Con solo *1€ al mes*, puedes convertirte en socio y marcar una gran diferencia en la vida de muchos gatitos necesitados. Tu pequeño gesto les dará comida, atención y amor.
*Únete aquí:* https://www.teaming.net/michisdepelayos

BBVA ES72 0182 7421 54 0202676940
BIZUM 630894724
Tambien nos puedes ayudar con donativos de comida, arena etc.

*Un pequeño acto de amor puede cambiar muchas vidas. ¡Comparte y ayuda!*
*Síguenos en Instagram:* @asociacion_adr
Facebook Diana Vásquez
Tiktok @asociacion_adr


Comparte

Este foro sólo es para los Teamers y Teaming Managers del Grupo.

Para poder comentar:

Actualización de cómo va la causa

Asociación Diana Rescata
Asociación Diana Rescata

Teaming Manager

el 05/08/2025 a las 10:06h

Aviso de Emergencia gatito herido
Hoy, a las 19:15 h, una vecina del barrio nos dio el aviso de un gatito herido en Calle Enebros, Javacruz.
Hemos podido capturarlo y llevarlo al veterinario para recibir atención urgente.
Os mantendremos informados sobre su evolución.
¡Cada vida cuenta!


Comparte

Este foro sólo es para los Teamers y Teaming Managers del Grupo.

Para poder comentar:

Actualización de cómo va la causa

Asociación Diana Rescata
Asociación Diana Rescata

Teaming Manager

el 05/08/2025 a las 10:03h

¿Te encantan los gatitos pero no puedes adoptar?
Puedes ayudarlos apadrinando.✨
Apadrinar es una forma preciosa de crear un vínculo con uno de nuestros pequeños mientras contribuyes a su bienestar♥️.
Tu ayuda puede ser con comida, arena o lo que esté a tu alcance.
Cada gesto, por pequeño que parezca, significa muchísimo para ellos… y para nosotros también.
✨ Juntos podemos seguir cuidándolos y dándoles el amor que merecen.‍⬛❤️‍


Comparte

Este foro sólo es para los Teamers y Teaming Managers del Grupo.

Para poder comentar:

Duda sobre la causa

Asociación Diana Rescata
Asociación Diana Rescata

Teaming Manager

el 05/08/2025 a las 10:01h

El día de ayer nos dieron un aviso de esta gatito en el camino de Valdeyernos en Pelayos de la Presa, se encuentra internada en el veterinario, no sabemos qué le ha podido ocurrir.Los gatos en la calle corren muchos peligros, que los carros les puedan atropellar, que le ataquen otros animales o ahora en verano les de un golpe de calor.Por favor debemos de tener mucho cuidado con nuestros gatitos y si vemos uno en la calle tener precaución cuando conduzcamos, recuerda que es una una VIDA y debemos respetar.La importancia de #esterilizar y cuidar de ellos ❤️#AdoptaNoCompres #HogarParaEllos #GatitosEnAdopción #RescateAnimal #AyudaAnimal #AmorPorLosAnimales #dalesunaoportunidad #GatitoEnRecuperación

Este foro sólo es para los Teamers y Teaming Managers del Grupo.

Para poder comentar:

Actualización de cómo va la causa

Asociación Diana Rescata
Asociación Diana Rescata

Teaming Manager

el 04/08/2025 a las 09:30h

URGENTE - Gatito rescatado en condiciones críticas

Hemos recibido un aviso sobre un gatito que fue visto en la calle La Viña, en Pelayos de la Presa. El pequeño fue capturado y trasladado de inmediato al veterinario.

Lamentablemente, su estado es muy grave: está severamente desnutrido y presenta una herida en la cara con signos de gangrena e infestación de gusanos. A pesar de todo, estamos haciendo todo lo posible para salvarle la vida y darle una oportunidad de recuperación.

Necesita muchos cuidados y mucho apoyo. Agradecemos cualquier ayuda, ya sea difusión, colaboración para cubrir los gastos veterinarios o simplemente palabras de ánimo para este luchador.

Iremos informando sobre su evolución. ¡Gracias por estar ahí!


Comparte

Este foro sólo es para los Teamers y Teaming Managers del Grupo.

Para poder comentar:

Actualización de cómo va la causa

Asociación Diana Rescata
Asociación Diana Rescata

Teaming Manager

el 04/08/2025 a las 09:29h

Este valiente gatito lleva ya un buen tiempo con nosotros.
Recibimos un aviso sobre su estado, y cuando finalmente pudimos capturarlo, nos encontramos con una gran herida en su cuello que aún no ha logrado cerrar del todo.

Ya vamos por el tercer veterinario, pero no vamos a rendirnos. Con mucho amor, cuidados y atención, estamos haciendo todo lo posible para que este pequeño salga adelante.

✨ Necesitamos de tu ayuda para seguir cubriendo sus tratamientos, curaciones y todo lo que necesite para recuperarse por completo.

Cualquier aporte, por pequeño que sea, hace una gran diferencia.
Gracias por acompañarnos en esta lucha por su vida.

#AyudaAnimal #GatitoEnRecuperación #RescateAnimal #AdoptaNoCompres #AmorPorLosAnimales


Comparte

Este foro sólo es para los Teamers y Teaming Managers del Grupo.

Para poder comentar:

Actualización de cómo va la causa

Asociación Diana Rescata
Asociación Diana Rescata

Teaming Manager

el 11/09/2024 a las 22:11h

Este gatito es ciego y nos dieron aviso (una señora mayor que viene los fines de semana) de que se acercaba a comer al chalet pero se había caído ya dos veces en la piscina y difícilmente iba a sobrevivir una tercera. Lo rescatamos junto con su hermana, que tenía un ojo muy mal y al final se quedó tuerta, pero se volvió muy sociable y pudo salir en adopción. Pero el pobre cieguito tenía mucho miedo y no pudo encontrar casa de adopción, por lo que nos lo quedamos en la casa de los gatos. Vino muy delgado y al principio estaba muy asustado, pero poco a poco se ha puesto más rellenito y como se ha aprendido la casa, se desenvuelve tan bien que a veces parece que no fuera ciego.
Gracias a todos los que colaboráis todos los meses, sirve de ayuda para los gastos de veterinario, farmacia, arena, pienso... tanto de este gatito como de otros rescates que hacemos.
Este año hemos dado 70 gatitos en adopción y tenemos 10 gatos en acogida con diversos problemas de salud. Se agradece toda la ayuda posible.


Comparte

Este foro sólo es para los Teamers y Teaming Managers del Grupo.

Para poder comentar:

Actualización de cómo va la causa

Asociación Diana Rescata
Asociación Diana Rescata

Teaming Manager

el 04/06/2023 a las 20:17h

La semana pasada completamos la adopción de esta otra camada de 4 gatitos, los hemos estado cuidando hasta que cumplieron 2 meses y se pudieron ir a sus nuevas casas de adopción.


Comparte

Este foro sólo es para los Teamers y Teaming Managers del Grupo.

Para poder comentar:

Actualización de cómo va la causa

Asociación Diana Rescata
Asociación Diana Rescata

Teaming Manager

el 13/05/2023 a las 19:37h

Los recogimos en semana santa junto con su mamá y tras unas semanas creciendo, jugando, comiendo y haciendo el gamberro, se van a sus casas de adopción. Gracias a todos los adoptantes!


Comparte

Este foro sólo es para los Teamers y Teaming Managers del Grupo.

Para poder comentar:

Actualización de cómo va la causa

Asociación Diana Rescata
Asociación Diana Rescata

Teaming Manager

el 20/04/2023 a las 21:15h

Durante esta semana santa, hemos rescatado a una mamá con sus 4 gatitos (2 blancos y 2 crema). Gracias al aviso de Ana y Miguel y a su ayuda, la hemos podido coger y ya está en casa tranquila y cuidando de sus bebés. Además, ayer nos trajeron otros dos bebés y afortunadamente la mamá los ha aceptado y también les da de mamar junto a los suyos. A partir de los 2 meses, estarán listos para ser adoptados y se agradecerá ayuda para buscarles una casa donde los quieran.


Comparte

Este foro sólo es para los Teamers y Teaming Managers del Grupo.

Para poder comentar: