Maylo con ruedas

Maylo con ruedas

8  Teamers
98 € recaudados

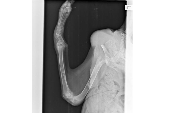
Maylo es un cachorro de unos 6 meses, al que iban a dormir porque no podía andar y no dudamos ni un momento en hacernos cargo de el. No tenemos un diagnostico claro de el, ya que no conocemos su pasado y qué es lo que le pasó, pero tiene una fractura en la parte baja de la columna que ha hecho que pierda toda la sensibilidad de sus patas traseras y se quede inmóvil. Vamos a necesitar mucho apoyo ya que los presupuestos de amputacion rondan los 600€/pata. ¿Nos ayudas? ➡️@mayloconruedas

Destinamos la recaudación a:

Operación Maylo

Maylo con ruedas

Con este teaming queremos poder recaudar al menos los 600€ que costaría amputar 1/3 de la patita tiesa que tanto le molesta, y una vez eso, valorar si también quitar la que tiene doblada hacia atrás


Publicado el
29/05/2023

Actualizaciones

Sandra Varó saiz
Teaming Manager

26/06/2023 19:42 h

El día 3 de julio tengo la operación de una de mis patitas y de la cola.
Todo gracias a vosotros para hacer mi vida mucho mas fácil y que no tenga heridas

Ver todo el comentario


0 Comentarios

Comenta

Ver todas las actualizaciones

Recaudado

Hemos recaudado hasta hoy:
98 €
Ver detalle de recaudaciones

Información

Fecha de publicación
29/05/2023

Tipo de Grupo
Otros

Ámbito
Ayuda a enfermos
Discapacidad
Animales

País
España

Comparte en tus redes sociales

Copia y pega la URL

https://www.teaming.net/mayloconruedas